Jovem fica com cabo USB preso dentro do pênis e acaba na mesa de cirurgia.

8 de novembro de 2022 263

Um garoto de 15 anos decidiu introduzir um cabo USB em seu pênis para, segundo ele, medir seu interior. No entanto, a brincadeira acabou tendo consequências graves e terminou em sua ida para a emergência.

O caso aconteceu em meados de 2021, no Reino Unido, e foi noticiado agora pelo site de saúde e medicina Science Direct.

O incidente ocorreu quando, segundo o jovem, ele ficou "curioso" com as medidas de seu órgão sexual. A mãe do jovem deu outra versão, de que se tratou de uma brincadeira sexual, em que ele acabou colocando o cabo USB do seu carregador de celular dentro do pênis pela uretra.

Ele entrou em pânico quando percebeu que o cabo havia ficado preso dentro do órgão, causando fortes dores.

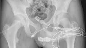
De acordo com o tabloide inglês Daily Star, o jovem, que não teve o nome revelado, foi levado ao hospital e passou por uma radiografia, que mostrou a gravidade da situação. O cabo não apenas ficou preso na parte interna do pênis, como também fez alguns nós e ficou emaranhado na uretra..

Os médicos responsáveis pelo tratamento relataram o incidente e a extração do objeto do corpo do paciente em um relatório, divulgado no Science Direct.

"O paciente era um adolescente saudável e em boa forma, sem histórico de distúrbios de saúde mental. As duas pontas do fio USB estavam saindo do meato uretral externo, enquanto a parte do meio do fio permanecia dentro da uretra", escreveram.

Inicialmente, os médicos falharam em sua primeira tentativa de retirar o cabo. Eles usaram uma haste de metal para inserir dentro do órgão sexual do garoto e puxar o objeto, mas o nó que o cabo fez tornou esse método impossível.

Então, os médicos resolveram partir para uma alternativa mais delicada para retirar o cabo. Eles tiveram que fazer um corte na região entre a genitália e o ânus para que pudessem chegar ao cabo por baixo.... -

"Foi feita uma incisão peno-escrotal longitudinal sobre o corpo e uma dissecção cuidadosa dos tecidos mais profundos, seccionando o músculo bulboesponjoso. Ambas as extremidades do fio foram puxadas com sucesso através do meato uretral externo.".

Apesar do método doloroso e complexo, a cirurgia foi bem-sucedida e o adolescente conseguiu se recuperar completamente.

Ao conversarem com a mãe, os médicos descobriram também que o menino estava usando o cabo na parte íntima como um tipo de experimentação sexual.

"Experimentação sexual e gratificação, bem como transtornos mentais subjacentes, são considerados as principais causas da inserção do objeto na uretra e na bexiga", escreveram no relatório.

Fonte: Colaboração para o UOL, em São Paulo